
Why Patients from the U.S. Choose COE Dental Group
• Board-Certified Specialists in Implant & Oral Rehabilitation
• Fully Digital Workflow (CBCT + Intraoral Scan + Guided Surgery)
• Same-Day / Immediate Teeth Options Available
• Premium Zirconia Restorations — No Metal Acrylic
• Personalized Treatment Planning for Long-Term Results
• Hundreds of Successful Full Arch Cases
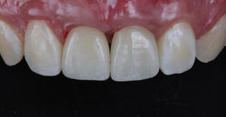
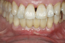
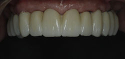
Real Patients Transformation
See how we restore smiles, confidence, and quality of life with a full mouth dental implants.
Advanced Digital Implant Planning
Using advanced digital technology, we create a virtual patient by combining CBCT imaging and intraoral scans. This allows us to plan implant placement and restoration design before surgery, improving accuracy and long-term outcomes.
Why Choose Dental Implants?

Restore your smile naturally
Dental Implants are designed to
look and feel like your
natural teeth.

Preserve bone and facial structure
Implants helps prevent bone loss and maintain facial support over time.

Improved function
Eat, speak, and smile with confidence and stability.

Long-term solution
With proper planning and care, dental implants are durable, long- lasting option.
Our Dental Implant Process in Tijuana

Consultation & 3D Imaging
We begin with clinical evaluation, CBCT scan, and intraoral scans.

Digital Treatment Planning
Your implant position and restoration are planned for ideal function and esthetics.

Implant Placement
Implants are placed using a precise, guided surgical approach.

Final Restoration
A custom crown or prosthesis delivered to restore your smile.





















